
Bruksizm
Nocne zgrzytanie i zaciskanie zębów,
czyli jak stres
wpływa na układ żucia
Nocne zgrzytanie i zaciskanie zębów, czyli jak stres wpływa na układ żucia
telefon: 605 98 98 56

Bruksizm – nocne zgrzytanie zębami
zgrzytanie zębami, zaciskanie zębów
Bruksizm to nie tylko problem tego, kto śpi obok nas i musi słuchać, jak zgrzytamy zębami. Nieleczony może skończyć się utratą zębów, uporczywymi migrenami i problemami z kręgosłupem!
Parafunkcje
Parafunkcje są to stereotypowe nieuświadomione, nieprawidłowe, utrwalone czynności narządu żucia, odbiegające jakościowo i ilościowo od prawidłowych funkcji. Ponieważ uprawiane są one przy nadmiernej aktywności mięśni narządu żucia, poza rolą obronną polegają na rozładowaniu stresu doprowadzającego one do przeciążeń w układzie stomatognatycznym. Parafunkcje dzielimy na:
- parafunkcje zwarciowe
- parafunkcje niezwarciowe
Parafunkcje niezwarciowe
Niezwarciowe parafunkcje są to takie nawyki ruchowe w obrębie narządu żucia, przy których nie dochodzi do kontaktu zębów przeciwstawnych, np.:
- przygryzanie warg,
- obgryzanie paznokci,
- nagryzanie przedmiotów,
- nadmierne żucie gumy.
Przyczyny bruksizmu
Za główną i najbardziej prawdopodobną przyczyną bruksizmu uważa się stres i emocje. Dawne teorie o pasożytach czy wadach zgryzu nie zostały potwierdzone.
Parafunkcje zwarciowe – bruksizm
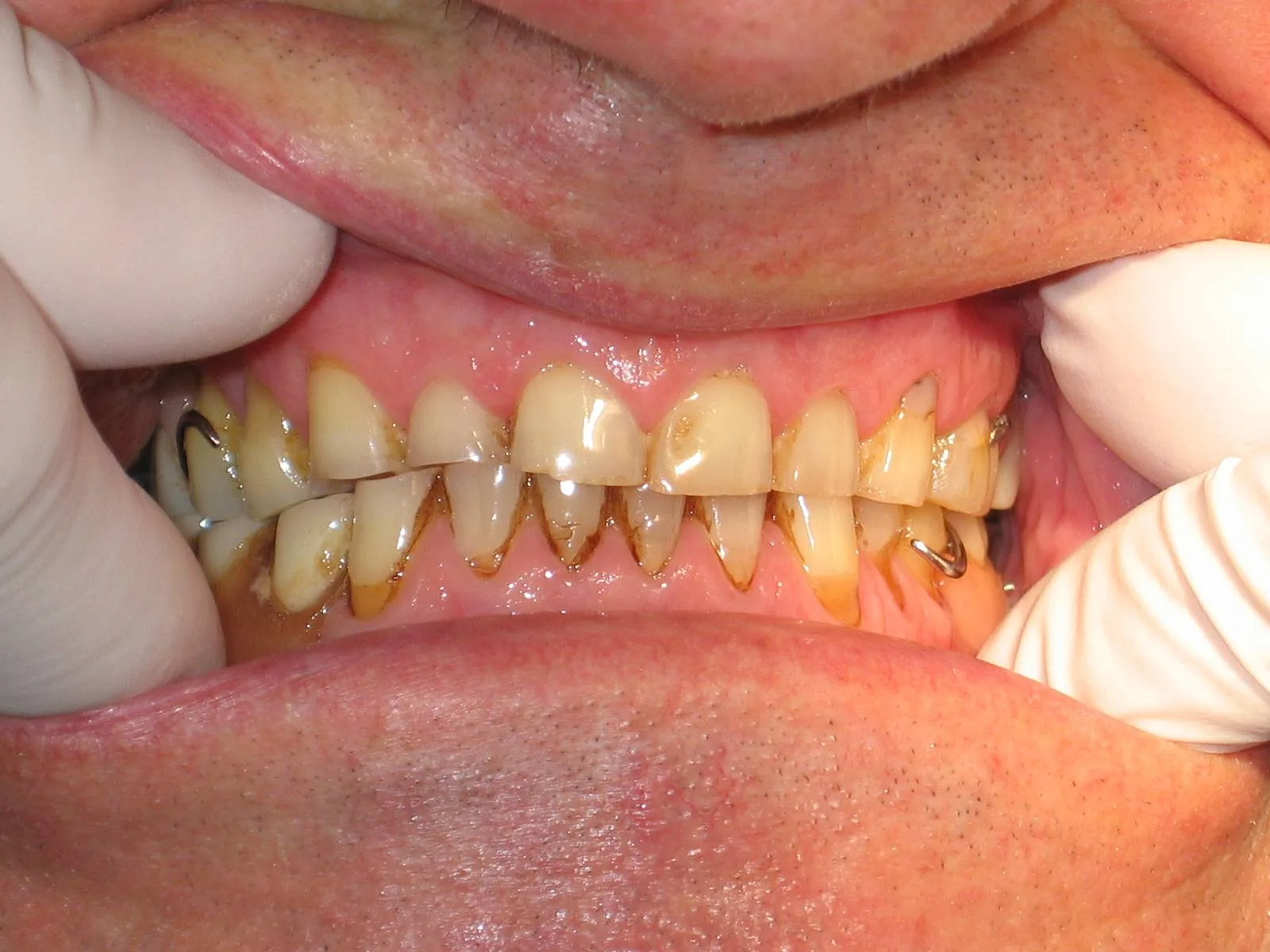
Parafunkcje zwarciowe – bruksizm są to czynności odbywające się z kontaktem zębów przeciwstawnych, czyli nawykowe zaciskanie i zgrzytanie zębami. Parafunkcje te najczęściej uprawiane są we śnie, najważniejsze jest rozpoznanie parafunkcji i uświadomienie choremu ich uprawiania. Siły jakie są wyzwalane na powierzchniach żujących u pacjentów z bruksizmem mogą być nawet 10 razy większe od tych działających podczas normalnych procesów gryzienia i żucia.
Zaciskaniu i zgrzytaniu zawsze towarzyszy:
- patologiczne starcie zębów,
- ubytki klinowe,
- uszkodzenie szkliwa na powierzchni policzkowej zębów przednich,
- recesja dziąseł,
- złamanie korony zęba,
- patologiczne zmiany w obrębie stawu skroniowo-żuchwowego (trzaski, przeskakiwania),
- przerost i przeciążenia mięśni przywodzących żuchwę (m. skroniowego i m. żwacza),
- bóle w okolicy stawu bądź przyczepów mięśni uczestniczących w zgrzytaniu.
Objawów bruksizmu można przez dłuższy czas nie zauważać. Najczęściej dopiero gdy pojawią się różnego rodzaju dolegliwości bólowe, zaburzenia snu, gorsze funkcjonowanie w ciągu dnia i przewlekłe zmęczenie, osoby takie zaczynają szukać porad u lekarzy innych specjalności – najczęściej neurologa, laryngologa, psychiatry i okulisty, aż w końcu trafiają do stomatologa.

Zgrzytanie i zaciskanie zębów
Zgrzytanie zębami najczęściej uprawia się we śnie, bez naszej woli organizm „odstresowuje się”, w nocy również możemy zaciskać zęby. Podczas dnia bardzo niewielu pacjentów zgrzyta zębami (tylko w ekstremalnych przypadkach), natomiast pacjentów zaciskających zęby jest duża grupa. Pacjenci nie są tego świadomi, jednak samoobserwacja niejednokrotnie doprowadza do ciekawych i zaskakujących spostrzeżeń. Najważniejsze jest rozpoznanie parafunkcji i uświadomienie choremu ich uprawiania.
Leczenie bruksizmu
Leczenie bruksizmu jak każdej innej choroby powinno się rozpocząć od jej rozpoznania, następnie należy wyeliminować czynnik, który jest jej przyczyną. W leczeniu bruksizmu niestety napotykamy na bardzo mocnego przeciwnika jakim jest stres. Z nim niestety nie jest łatwo wygrać, ale pożądane jest zmniejszenie napięcia emocjonalnego poprzez:
- spotkania z psychologiem,
- uprawianie sportu,
- jogę,
- poznanie skutecznych sposobów radzenia sobie ze stresem.
Dla każdego z nas będą skuteczne inne sposoby walki ze stresem, dlatego bardzo ważne jest zaangażowanie nas samych w terapię.
Obecnie w leczeniu objawów bruksizmu stosuje się szyny relaksacyjne. Są to akrylowe nakładki na zęby do stosowania na noc. Działanie ich polega na ograniczeniu możliwości w napięciu mięśni przywodzących żuchwę oraz skutecznie chronią przed starciami i przeciążeniami poszczególnych zębów. Stosuje się również ćwiczenia rozluźniające i relaksujące mięśnie. Dobrym sposobem na rozluźnienie mięśni jest wizyta u fizjoterapeuty, który profesjonalnie zajmie się terapią mięśni manualnie bądź za pomocą urządzeń do fizykoterapii (np.: TENS).
Psychoterapia w leczeniu bruksizmu
Do psychoterapeutów pacjenci trafiają jednak bardzo rzadko z powodu bruksizmu.
Przez 12 lat pracy miałam w gabinecie tylko jedną osobę, która przyszła prosząc o pomoc właśnie w sprawie zgrzytania – mówi Ewa Dołęga, psycholog. – Mąż wyprowadził się z sypialni, bo zgrzytanie żony nie pozwalało mu spać. Najczęściej ludzie przychodzą jednak w zupełnie innych sprawach, z nerwicą, konfliktami w pracy, bezsennością. Bruksizm ‘wychodzi’ nam przy okazji, po kilku spotkaniach. I najczęściej nie ma potrzeby zajmować się nim osobno, jako jednostką chorobową. Jeśli poradzimy sobie z nerwicą albo tłumieniem emocji, zgrzytanie też znika.
Bruksizm jako zaburzenie snu
Psychiatrzy traktują bruksizm jako parasomnię, czyli zaburzenie snu. Takich zaburzeń w klasyfikacji American Academy of Sleep Medicine wymienia się ponad 80. Bruksizm pojawia się tam obok somnambulizmu, lęków nocnych i moczenia nocnego. Epizody bruksizmu występują wyłącznie na pierwszym i drugim etapie snu wolnofalowego (NREM), czyli wtedy, gdy nie pojawiają się sny fabularne. To, że nie śnimy o swoich stresach, nie oznacza jednak, że ich nie przeżywamy!
Amerykański psychiatra Timothy Olson stwierdził, że ataki bruksizmu zdarzają się najczęściej w nocy z niedzieli na poniedziałek, czyli wtedy, kiedy szykujemy się wewnętrznie na nowy tydzień pracy. W drugim i trzecim tygodniu urlopu epizodów bruksizmu jest nawet o 2/3 mniej niż w czasie pracy!
Współpraca specjalistów
Żeby walczyć z bruksizmem skutecznie, potrzebna jest często współpraca stomatologa, neurologa, psychoterapeuty lub psychiatry oraz fizykoterapeuty, który poradzi sobie z rehabilitacją stawu skroniowo-żuchwowego i – w razie potrzeby – innych stawów i mięśni, oraz nauczy pacjenta rozluźniać się przy pomocy ćwiczeń mięśni twarzy.
W Ameryce taka współpraca kilku specjalistów to już standard w przypadkach bruksizmu. W Polsce jeszcze tak nie jest, warto więc samemu odwiedzić dentystę, psychoterapeutę i rehabilitanta. Bo zaniedbanie może zakończyć się bardzo boleśnie.




